CABINET D'ORTHODONTIE DES DRS BELLON, JOUANNIC ET MELKA
Orthodontistes à VERGEZE
880 avenue de Camargue, 30310 VERGEZE
+33 4 66 35 12 99
CABINET D'ORTHODONTIE DES DRS BELLON, JOUANNIC ET MELKA
Orthodontistes à VERGEZE

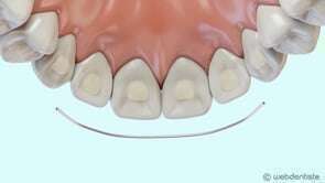
Fil de contention


video-play-icon

Articles similaires

Création par Webdentiste

Connexion